你的烤瓷牙(固定假牙)用了超过5年了吗?你的烤瓷牙出现牙龈黑线、牙龈红肿、牙龈出血、口腔异味、咬合疼痛、松动脱落吗?8月8日,30位来自苏城各个区域的烤瓷牙修复市民来到了苏州美奥口腔《烤瓷牙如何更换种植牙》讲座现场,并对自己使用多年的烤瓷牙进行了检查,以便发现问题可以及时检修。

我们所说的烤瓷牙修复应用在患者身上一般有两种用途,一种是烤瓷牙搭桥,这是针对部分缺牙市民的一种功能性修复,磨小两边的健康牙,套上烤瓷牙冠,中间带一颗或几颗烤瓷牙牙桥填补缺牙位置。这种情况,一般建议将不良修复体的烤瓷牙牙桥更换为缺牙的较佳修复方式——种植牙。另一种是烤瓷牙美容冠,在没有缺牙的情况下,磨小牙齿套上烤瓷牙冠,改变四环素牙、畸形牙等前牙不美观的状况。这种情况,则建议将含有金属的烤瓷牙更换为更加健康、美观、没有金属含量的全瓷牙。
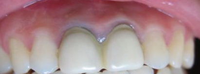
需要特别提到的是,早期的普通烤瓷牙多使用镍铬合金, 现代医学证明镍对人体有致敏性和致癌性,会引起部分人牙龈轻微发炎,导致烤瓷牙与牙龈接触的地方轻微的红肿,有害牙龈健康。镍化学性质不稳定,其金属离子析出后,出现口腔异味,金属离子沉积于颈缘牙龈,使牙龈变黑,烤瓷牙颈缘发黑,影响美观。近几年钴铬合金已经渐渐代替了镍铬合金烤瓷牙,而对美容性要求较高的年轻人开始将烤瓷牙更换为有效没有金属成分、通透性和自然度更好的全瓷牙。

烤瓷牙在使用中难免有损坏和老化,需要定期检修,烤瓷牙也是有使用年限的,特别是早期技术不是很成熟时期的烤瓷牙,较好及时更换。很多市民感觉到了超过使用年限未检修烤瓷牙的不舒服,却不清楚“我的烤瓷牙怎么了?”这些已经使用5-10年的烤瓷牙大多都出现了以下问题:
1、咬东西的时候疼痛,使不上力
2、牙龈红肿,刷牙出血,口臭
3、牙龈边缘露黑线
4、牙冠和牙龈分开,松动,食物嵌塞

牙龈黑线
苏州美奥口腔针对烤瓷牙修复人群,提供烤瓷牙公益大检活动,并开具“烤瓷牙修复建议单”。检查烤瓷牙是否染龈、牙龈是否有炎症、烤瓷牙是否闭合、有无松动等问题,并为失败烤瓷牙免费拆冠。详情可→【点此在线咨询】